Home Science Une étude pointe vers une nouvelle stratégie combinée pour le cancer du pancréas

Une étude pointe vers une nouvelle stratégie combinée pour le cancer du pancréas

by News Team
0 comment


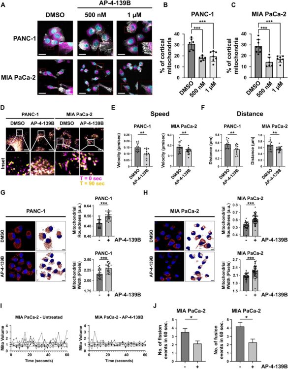
L'inhibition de HSP70 affecte la localisation et la dynamique sous-cellulaires mitochondriales. Crédit: Mort cellulaire et différenciation (2024). DOI : 10.1038/s41418-024-01310-9

L'adénocarcinome canalaire pancréatique (PDAC) est la forme la plus courante de cancer du pancréas et devrait devenir la deuxième cause de décès par cancer d'ici 2030. Bien que des progrès aient été réalisés dans l'amélioration des résultats, le taux de survie à cinq ans reste obstinément faible. à seulement 13 %.

Aujourd’hui, des chercheurs du MUSC Hollings Cancer Center ont identifié une stratégie thérapeutique prometteuse. Publié dans Mort cellulaire et différenciationl'étude décrit un nouveau rôle de HSP70, ou protéine de choc thermique 70, et suggère que le blocage simultané de HSP70 et d'un mécanisme de survie appelé autophagie pourrait réduire la croissance du cancer du pancréas.

Il s'agit de la publication inaugurale du Barnoud Lab, dirigé par Tim Barnoud, Ph.D., qui a rejoint Hollings fin 2021. Les co-premiers auteurs de l'article sont Colleen Quaas, Ph.D., et Giulia Ferretti, Ph.D. ., qui ont tous deux reçu des bourses de Hollings. Ferretti est actuellement membre du HCC Abney, tandis que Quaas a terminé sa bourse T32 ITOS et se dirige vers quelques pâtés de maisons au nord pour occuper un poste de professeur à la Citadelle.

Quaas a souligné que cette enquête a nécessité un effort de recherche important et une collaboration de la part de tous les membres du laboratoire ainsi que des autres laboratoires du Hollings Cancer Center.

“De nombreuses techniques ont été impliquées, et l'un des avantages de la bourse est que nous avons pu disposer des fonds nécessaires pour utiliser de nombreuses techniques vraiment de pointe, telles que la vidéomicroscopie de cellules vivantes pour étudier la dynamique mitochondriale en temps réel. temps – et de réaliser toutes les études précliniques d’efficacité de nos inhibiteurs sur des modèles murins.

“Et nous avons la chance d'avoir un environnement chez Hollings où nous collaborons tous et travaillons très bien ensemble”, a-t-elle déclaré.

Pourquoi HSP70 est-il important dans le cancer ?

Les cellules utilisent des protéines de choc thermique (HSP), surtout lorsqu’elles sont soumises à un stress. Ces HSP agissent comme des « chaperons », garantissant que les autres protéines sont correctement repliées afin de faire leur travail face à un environnement stressant.

Barnoud a expliqué que les cellules cancéreuses, parce qu'elles se développent et se divisent à des rythmes anormalement rapides, sont dans un état de stress constant, ce qui inclut des cas où elles disposent d'un nombre limité d'oxygène et de nutriments nécessaires à leur croissance.

Pour cette raison, elles produisent beaucoup plus de HSP70 que les cellules normales. L'attention des chercheurs a été attirée sur HSP70 en tant que cible thérapeutique, même s'il restait encore des inconnues sur tout ce qu'il faisait dans les cellules cancéreuses.

Au cours de son stage postdoctoral au Wistar Institute de Philadelphie, Barnoud a découvert qu'il y avait une quantité particulièrement importante de HSP70 dans les mitochondries des cellules tumorales, y compris les cellules cancéreuses du pancréas. Les mitochondries, la « centrale » de la cellule, fournissent l’énergie dont les cellules ont besoin pour vivre. Cependant, HSP70 n’apparaissait pas dans les mitochondries des cellules normales.

“C'était assez surprenant. Mais ces résultats nous ont amenés à poser une question simple : que fait HSP70 dans les mitochondries des cellules cancéreuses ?” dit Barnoud.

Dans son laboratoire de Hollings, Barnoud a entrepris de le découvrir.

La dynamique mitochondriale, un processus qui régule la taille, la forme et la position des mitochondries dans les cellules, a été impliquée dans la progression du cancer du pancréas et dans les métastases. Cependant, les mécanismes qui régulent la dynamique mitochondriale ne sont pas encore entièrement compris.

Le laboratoire de Barnoud a montré que l'inhibition de HSP70 avec un inhibiteur à petite molécule altère la fonction d'une protéine appelée DRP1, essentielle à la santé et à l'intégrité des mitochondries. L’accumulation de mitochondries compromises peut à son tour entraîner la mort des cellules cancéreuses.

Cependant, une autre conséquence de l’inhibition de HSP70 est l’accumulation d’espèces réactives de l’oxygène et le stress oxydatif dans les mitochondries, qui peuvent activer un capteur métabolique critique dans les cellules appelé AMPK. À son tour, l’activation de l’AMPK déclenche un mécanisme de survie appelé autophagie, que les cellules cancéreuses utilisent souvent pour combattre divers stress, notamment la chimiothérapie.

“L'autophagie est un moyen intéressant pour les cellules cancéreuses du pancréas de survivre, dans la mesure où les cellules se nourrissent essentiellement d'elles-mêmes pour obtenir les nutriments essentiels nécessaires à d'importants processus biologiques”, a déclaré Barnoud.

“Ce qui était fascinant, c'est que le blocage de HSP70 a accéléré ce processus d'auto-alimentation afin que les cellules cancéreuses du pancréas survivent au stress que nous leur infligeons”, a déclaré Ferretti.

L’équipe a montré que le blocage de l’autophagie améliorait l’efficacité de l’inhibition de HSP70 et ralentissait la croissance des tumeurs pancréatiques chez la souris. Comme pour d’autres cancers, la recherche montre qu’une intervention multidimensionnelle est plus efficace.

“La partie passionnante de notre histoire est qu'il existe un médicament approuvé par la FDA qui peut bloquer l'autophagie. Désormais, des inhibiteurs spécifiques de l'autophagie plus puissants sont actuellement en cours d'essais cliniques pour le cancer du pancréas”, a déclaré Barnoud.

“L'objectif à long terme du laboratoire est de faire progresser la première petite molécule d'inhibiteur de HSP70 jusqu'au stade clinique, ce qui, nous l'espérons, sera bénéfique dans la lutte contre le cancer du pancréas, mais peut-être aussi pour d'autres cancers “dépendants” de HSP70.”

Plus d'information:
Giulia DS Ferretti et al, la dynamique mitochondriale et l'autophagie médiées par HSP70 représentent une nouvelle vulnérabilité dans le cancer du pancréas, Mort cellulaire et différenciation (2024). DOI : 10.1038/s41418-024-01310-9

Fourni par l'Université médicale de Caroline du Sud

Citation: Une étude pointe vers une nouvelle stratégie combinée pour le cancer du pancréas (28 mai 2024) récupéré le 28 mai 2024 sur

Ce document est soumis au droit d'auteur. En dehors de toute utilisation équitable à des fins d'étude ou de recherche privée, aucune partie ne peut être reproduite sans autorisation écrite. Le contenu est fourni seulement pour information.



You may also like

Leave a Comment

Our Company

Rivedin Provides news from the source.

Newsletter

Laest News

@2021 – All Right Reserved. Designed and Developed by RIVEDIN

Are you sure want to unlock this post?
Unlock left : 0
Are you sure want to cancel subscription?
-
00:00
00:00
Update Required Flash plugin
-
00:00
00:00