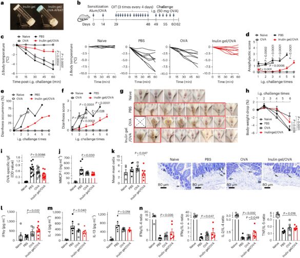
Le gel d’inuline/OVA protège les souris contre les tests allergéniques répétés avec du blanc d’œuf de poule. Crédit : Matériaux naturels (2024). DOI: 10.1038/s41563-024-01909-w
Une étude de l’Université du Michigan a identifié un nouveau traitement potentiel contre les allergies alimentaires dans l’inuline, une fibre végétale naturelle couramment utilisée comme complément, comme prébiotique dans les sodas, comme substitut aux édulcorants et pour d’autres produits et usages.
Dans ce qui semble être une avancée majeure qui offre la promesse d’un soulagement aux personnes souffrant d’allergies alimentaires dans le monde entier, l’article publié dans Matériaux naturels décrit le succès de l’immunothérapie orale à base de gel d’inuline dans l’arrêt des réactions allergiques chez la souris en ciblant, en partie, les bactéries dans l’intestin. Le gel a empêché les réactions allergiques graves pendant et même après son administration, y compris les réactions aux déclencheurs courants tels que les arachides, le blanc d’œuf et le lait.
La recherche, menée par une équipe internationale de scientifiques en sciences pharmaceutiques, en génie biomédical et chimique, en médecine interne et dans d’autres spécialités, suggère que le gel d’inuline s’attaque à la cause profonde des allergies alimentaires, plutôt que de simplement gérer les symptômes.
L’étude a été menée par James Moon, du College of Pharmacy de l’UM. Il étudie depuis des années le potentiel de l’inuline pour traiter les maladies. Il a déclaré que la thérapie à base de gel d’inuline était très prometteuse en raison de son profil de sécurité et de son potentiel de production à grande échelle.
« L’inuline, une fibre alimentaire largement consommée et reconnue comme sûre par la FDA, constitue la base du gel, ce qui en fait une option réalisable et transposable pour une utilisation clinique », a déclaré Moon, dont le laboratoire développe des technologies d’administration de médicaments combinées à des produits pharmaceutiques et à de l’ingénierie pour identifier les moyens permettant au corps de lutter contre la maladie. Moon est professeur JG Searle de sciences pharmaceutiques.
Bien que des recherches et des essais cliniques supplémentaires soient nécessaires pour vérifier les résultats, l’étude, qui a souligné le rôle du microbiote et des métabolites de l’intestin grêle dans la régulation des allergies alimentaires, ouvre de nouvelles voies pour des interventions thérapeutiques potentiellement révolutionnaires, a-t-il déclaré. D’autres options de traitement plus récentes ont connu une faible adoption en raison de réactions indésirables et d’une efficacité inégale.
Jusqu’à 1 adulte sur 3 et plus d’un enfant sur 4 souffrent d’allergies alimentaires, une maladie qui altère la vie et qui devient de plus en plus difficile à gérer car les allergènes peuvent être cachés dans une variété d’aliments et de boissons, selon les Centers for Disease Control and Prevention.
Les allergies alimentaires sont devenues une préoccupation majeure à l’échelle mondiale, en particulier dans les pays développés, car une exposition accidentelle aux allergènes peut déclencher des réactions graves, voire mortelles.
L’étude a révélé que le gel d’inuline, spécialement formulé avec un allergène, normalisait le microbiote intestinal et les métabolites déséquilibrés chez les souris allergiques. Cette normalisation a conduit à l’établissement d’une tolérance orale spécifique à l’allergène, supprimant efficacement les réactions allergiques à divers allergènes alimentaires.
« La thérapie a montré une protection durable même après l’arrêt du traitement, indiquant son potentiel de soulagement durable des allergies alimentaires », a déclaré Fang Xie, un étudiant diplômé qui a également dirigé les études.
Les inulines sont un groupe de polysaccharides et de glucides de stockage naturels présents dans plus de 36 000 espèces végétales, dont le blé, l’oignon, l’asperge et la chicorée, qui sont le plus souvent utilisés pour fabriquer des suppléments.
La fibre fait également l’objet de recherches et d’essais cliniques examinant son rôle dans le traitement ou conduisant à une meilleure compréhension des tumeurs cancéreuses, des maladies gastro-intestinales, du diabète et d’autres maladies.
Les chercheurs dont les travaux ont mené à l’étude représentent des institutions du monde entier, notamment le MD Anderson Cancer Center de l’Université du Texas, l’Université Dongguk de Séoul, en République de Corée, l’Université d’État du Michigan, l’Université de Washington et le WPI Immunology Frontier Research Center de l’Université d’Osaka, au Japon. En outre, les chercheurs de l’Université du Michigan représentent le Biointerfaces Institute, les départements des sciences pharmaceutiques, de génie biomédical, de génie chimique et de médecine interne et le Mary H. Weiser Food Allergy Center.
Plus d’information:
Kai Han et al, L’immunothérapie orale à base de gel d’inuline remodèle le microbiome de l’intestin grêle et supprime l’allergie alimentaire, Matériaux naturels (2024). DOI: 10.1038/s41563-024-01909-w
Fourni par l’Université du Michigan
Citation:L’immunothérapie orale à base de gel d’inuline pourrait offrir un traitement tant attendu aux personnes souffrant d’allergies alimentaires (2024, 9 juillet) récupéré le 9 juillet 2024 à partir de
Ce document est soumis au droit d’auteur. En dehors de toute utilisation équitable à des fins d’étude ou de recherche privée, aucune partie ne peut être reproduite sans autorisation écrite. Le contenu est fourni à titre d’information uniquement.