Home Science Comment les médicaments peuvent cibler l’épais « tissu cicatriciel » du cancer du pancréas

Comment les médicaments peuvent cibler l’épais « tissu cicatriciel » du cancer du pancréas

by News Team
0 comment


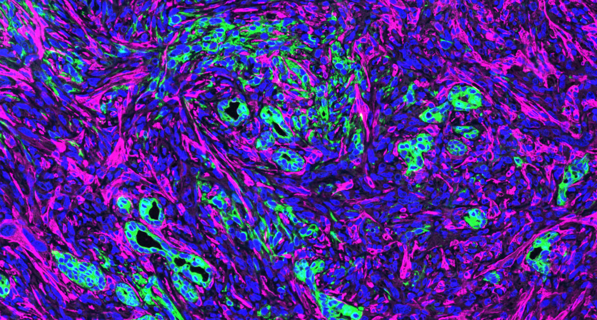
L'abondance de fibroblastes associés au cancer (magenta) dans le microenvironnement avec des cellules cancéreuses pancréatiques (vert). Crédit : Institut Salk

Le cancer du pancréas est l’un des cancers les plus mortels : seul un patient sur huit environ survit cinq ans après le diagnostic. Ces statistiques lamentables sont en partie dues à la paroi épaisse et presque impénétrable de fibrose, ou tissu cicatriciel, qui entoure la plupart des tumeurs pancréatiques et rend difficile l’accès des médicaments aux cellules cancéreuses et leur destruction.

Aujourd'hui, des chercheurs de l'Institut Salk ont ​​découvert comment une classe de médicaments anticancéreux appelés inhibiteurs d'HDAC peut aider à traiter le cancer du pancréas en modulant l'activation des fibroblastes, les cellules qui composent cette paroi de tissu cicatriciel.

La nouvelle recherche a été publiée dans Communications naturelles le 6 décembre 2023.

“Ces médicaments s'avèrent agir à la fois sur la tumeur elle-même ainsi que sur le tissu fibreux qui l'entoure. Cela pourrait être un moyen très efficace de traiter les cancers du pancréas, qui sont généralement très difficiles à atteindre”, explique le professeur Ronald Evans, auteur principal de l'étude. directeur du Laboratoire d'expression génétique de Salk et de la Chaire March of Dimes en biologie moléculaire et développementale.

En réponse à une nouvelle tumeur pancréatique, le pancréas active généralement les fibroblastes, les cellules conjonctives qui soutiennent la structure de la plupart des organes. Lorsqu’ils passent d’un état de repos à un état actif, les fibroblastes construisent une épaisse couche de tissu cicatriciel autour du cancer. Bien que ce mécanisme de protection normal puisse aider à isoler un cancer et à empêcher sa propagation, les fibroblastes produisent également des molécules de signalisation dont la tumeur elle-même profite pour se développer.

“Dans le contexte de la plupart des cancers du pancréas, les fibroblastes agissent à la fois comme de bons et de mauvais joueurs”, explique Michael Downes, scientifique principal et co-auteur correspondant de l'article. “C'est une arme à double tranchant.”

Dans la nouvelle recherche, l'équipe a étudié l'effet sur les fibroblastes d'une classe expérimentale de médicaments anticancéreux connus sous le nom d'inhibiteurs de l'histone désacétylase (HDAC). Les HDAC modifient la structure tridimensionnelle de l’ADN à l’intérieur des cellules, rendant certaines parties de l’ADN plus faciles ou plus difficiles à accéder et à lire pour d’autres molécules.

Cibler les HDAC peut donc empêcher les cellules d’apporter des changements importants à leur comportement, comme la croissance incontrôlée des cellules cancéreuses. Mais la façon dont les médicaments agissent sur tous les types de cellules n’est pas bien comprise.

Lors d'expériences sur des cellules isolées, les chercheurs ont découvert que les inhibiteurs d'HDAC empêchaient les fibroblastes de s'activer et de soutenir la tumeur.

“L'utilisation d'inhibiteurs d'HDAC a en fait fait deux choses : elle a à la fois diminué les signaux de croissance des fibroblastes vers les cellules cancéreuses et a réduit l'activation et l'accumulation réelles des fibroblastes”, explique Gaoyang Liang, premier auteur et associé de recherche dans le laboratoire d'Evans.

Chez la souris, les chercheurs ont découvert qu’un inhibiteur expérimental de l’HDAC, l’entinostat, réduisait l’activation des fibroblastes autour des tumeurs pancréatiques et ralentissait la croissance tumorale. Lorsque les chercheurs ont analysé les données provenant d'humains atteints d'un cancer du pancréas, ils ont découvert quelque chose de similaire : plus les niveaux de HDAC1 dans le tissu fibreux autour de la tumeur d'un patient sont élevés, plus l'évolution est mauvaise.

“Cela est en accord avec ce que nous avons observé dans les cellules et chez la souris”, explique Downes. “Si vous avez plus d'activités HDAC dans les fibroblastes, vous obtenez de moins bons résultats. En revanche, si vous inhibez les HDAC, vous obtenez de meilleurs résultats.”

Puisque les inhibiteurs d'HDAC agissent en empêchant les cellules d'activer certains programmes génétiques, les chercheurs voulaient savoir quelles portions d'ADN touchées par les médicaments étaient les plus pertinentes pour l'activation des fibroblastes. Ils ont identifié plusieurs gènes que les inhibiteurs d'HDAC empêchent d'être exprimés, ce qui suggère que de nouveaux médicaments pourraient cibler ces gènes pour empêcher les fibroblastes de s'activer et favoriser la croissance du cancer et de la fibrose.

“Par le passé, on s'est demandé si le ciblage des fibroblastes était une bonne ou une mauvaise chose dans les cancers du pancréas, car les chercheurs ont montré que si l'on se débarrassait complètement des fibroblastes, cela rendait les cancers plus agressifs”, explique Annette Atkins. co-auteur de l'étude et chercheur principal dans le laboratoire d'Evans. “Mais ce que nos résultats suggèrent, c'est que nous n'avons pas besoin de nous en débarrasser ; il suffit de limiter leur activation.”

Des travaux supplémentaires sont nécessaires pour déterminer la meilleure façon d'administrer les inhibiteurs d'HDAC au tissu fibreux dense autour des tumeurs pancréatiques, ainsi que la manière dont ils pourraient être combinés le plus efficacement possible avec d'autres traitements contre le cancer.

Plus d'information:
Gaoyang Liang et al, L'inhibition des HDAC stromaux de classe I freine la progression du cancer du pancréas, Communications naturelles (2023). DOI : 10.1038/s41467-023-42178-6

Fourni par l'Institut Salk

Citation: Comment les médicaments peuvent cibler l'épais « tissu cicatriciel » du cancer du pancréas (6 décembre 2023) récupéré le 6 décembre 2023 sur

Ce document est soumis au droit d'auteur. En dehors de toute utilisation équitable à des fins d'étude ou de recherche privée, aucune partie ne peut être reproduite sans autorisation écrite. Le contenu est fourni seulement pour information.



You may also like

Leave a Comment

Our Company

Rivedin Provides news from the source.

Newsletter

Laest News

@2021 – All Right Reserved. Designed and Developed by RIVEDIN

Are you sure want to unlock this post?
Unlock left : 0
Are you sure want to cancel subscription?
-
00:00
00:00
Update Required Flash plugin
-
00:00
00:00