Home Science Le bexmarilimab, un traitement contre le cancer, réveille les cellules immunitaires pour attaquer les tumeurs qui ont échappé à la détection, selon une recherche

Le bexmarilimab, un traitement contre le cancer, réveille les cellules immunitaires pour attaquer les tumeurs qui ont échappé à la détection, selon une recherche

by News Team
0 comment


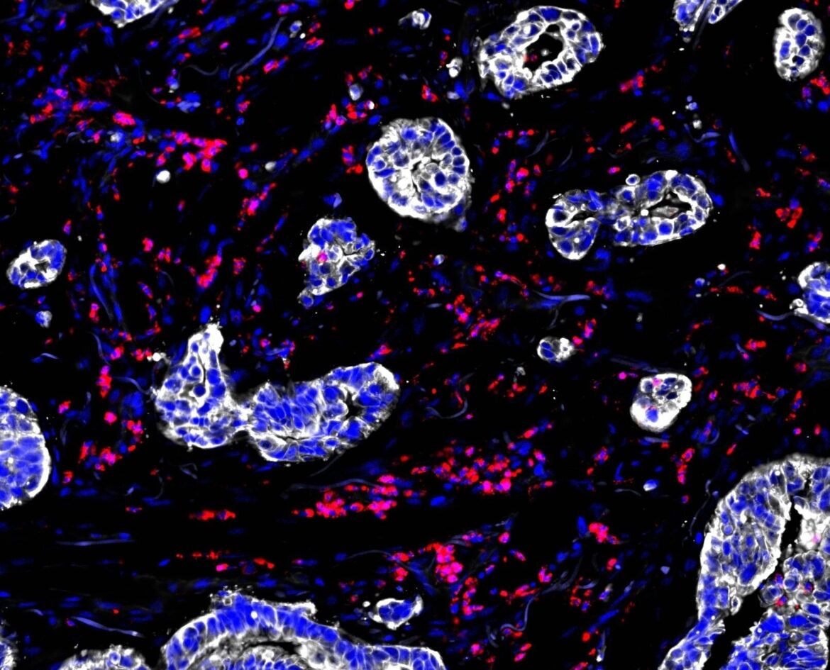
L’image montre des cellules cancéreuses et des cellules immunitaires macrophages. Les macrophages sont représentés en rouge tandis que les cellules cancéreuses sont des taches blanc-gris. Les noyaux sont représentés en bleu. Crédit : Jenna Rannikko

Des chercheurs de l'Université de Turku, en Finlande, ont découvert comment le nouveau traitement par le bexmarilimab modifie la fonction des cellules immunitaires afin qu'elles puissent infiltrer la tumeur chez les patients cancéreux qui ne répondent à aucun autre traitement actuel.

Le bexmarilimab est un nouveau médicament anticancéreux développé par Faron Pharmaceuticals à Turku, en Finlande. La recherche a été publiée dans les revues Rapports cellulaires Médecine et Recherche en immunologie du cancer.

L'immunothérapie anticancéreuse utilise le système de défense de l'organisme, le système immunitaire, pour lutter contre le cancer. De nouvelles immunothérapies sont en cours de développement pour aider les patients dont les cellules immunitaires ne parviennent pas à attaquer le cancer, même avec l'aide des thérapies actuellement disponibles.

Un futur traitement potentiel contre le cancer, le bexmarilimab, modifie le comportement des macrophages pour promouvoir la défense immunitaire anti-tumorale. Les macrophages sont des cellules immunitaires hautement plastiques que le cancer peut utiliser pour éviter d’être détecté par le système immunitaire. Le groupe de recherche du professeur Maija Hollmén au programme de recherche InFLAMES de l'Université de Turku en Finlande a étudié comment le traitement par bexmarilimab modifie la fonction des cellules immunitaires dans les tumeurs des patients.

« Dans un essai clinique sur le cancer à un stade avancé, le traitement par bexmarilimab a été bien toléré et a stabilisé la progression de la maladie chez des sous-groupes de patients. Chez les patients bénéficiant du traitement, nous avons observé une activation des macrophages et des lymphocytes associés à la tumeur ainsi qu'une induction d'interférons, qui sont tous les signes importants de la défense immunitaire antitumorale”, explique le Dr Hollmén.

L'étude a utilisé une nouvelle méthode de transcriptomique spatiale qui a permis aux chercheurs d'étudier les changements dans l'expression des gènes des cellules immunitaires dans un contexte spatial d'échantillons de tissus de patients.

Efficacité dans les tumeurs résistantes aux immunothérapies actuelles

Les patients atteints de cancer diffèrent considérablement dans leur sensibilité aux immunothérapies, car les tumeurs peuvent résister aux attaques immunitaires à des degrés divers. Par conséquent, il est important d’identifier les types de tumeurs pour lesquels une nouvelle immunothérapie est la plus efficace.

En traitant les cellules cancéreuses et les cellules immunitaires dérivées des patients avec le bexmarilimab dans des cultures cellulaires, le groupe de Hollmén a pu étudier en détail comment les cellules immunitaires individuelles réagissent au bexmarilimab.

“Nous avons observé une activation du système immunitaire similaire dans les cultures cellulaires dérivées de patients, à celle observée dans les tumeurs de patients : le bexmarilimab stimule les macrophages, qui peuvent ensuite activer les lymphocytes T capables de tuer les cellules cancéreuses. Le succès du traitement dépend donc de la coopération de plusieurs cellules immunitaires. types », décrit Jenna Rannikko, qui est la première auteure des articles de recherche connexes.

Les similitudes entre l'étude clinique et les cultures cellulaires dérivées de patients ont encouragé le groupe à rechercher pourquoi le bexmarilimab manque d'efficacité chez certains patients. Ils ont découvert que l’exposition des macrophages aux interférons empêche le bexmarilimab de les activer.

“C'est très significatif, car cela signifie que le bexmarilimab serait plus efficace dans les tumeurs pour lesquelles les immunothérapies actuellement disponibles fonctionnent mal. Ces tumeurs ont des niveaux d'interférons plus faibles. Après l'immunité antitumorale induite par le bexmarilimab, ces tumeurs pourraient devenir sensibles aux immunothérapies actuellement disponibles. aussi”, conclut Rannikko.

Plus d'information:
Jenna H. Rannikko et al, L'activation des macrophages induite par le bexmarilimab conduit à un bénéfice thérapeutique dans les tumeurs solides : le premier essai MATINS de phase I/II chez l'homme, Rapports cellulaires Médecine (2023). DOI : 10.1016/j.xcrm.2023.101307

Jenna H. Rannikko et al, Le bexmarilimab active les macrophages humains associés aux tumeurs pour soutenir les réponses immunitaires adaptatives dans les microenvironnements immunitaires pauvres en interféron, Recherche en immunologie du cancer (2023). DOI : 10.1158/2326-6066.CIR-23-0350

Fourni par l'Université de Turku

Citation: Le traitement contre le cancer, le bexmarilimab réveille les cellules immunitaires pour attaquer les tumeurs qui ont échappé à la détection, selon une recherche (7 décembre 2023) récupéré le 7 décembre 2023 de

Ce document est soumis au droit d'auteur. En dehors de toute utilisation équitable à des fins d'étude ou de recherche privée, aucune partie ne peut être reproduite sans autorisation écrite. Le contenu est fourni seulement pour information.



You may also like

Leave a Comment

Our Company

Rivedin Provides news from the source.

Newsletter

Laest News

@2021 – All Right Reserved. Designed and Developed by RIVEDIN

Are you sure want to unlock this post?
Unlock left : 0
Are you sure want to cancel subscription?
-
00:00
00:00
Update Required Flash plugin
-
00:00
00:00